Mycology
Fungi can be broken down and grouped a lot of different ways. The main groups covered here are: yeast, dimorphic fungi, dermatophytes, zygomycetes, and a few other opportunistic molds. Understanding structural vocabulary and which structures are unique to which groups is key. It’s also important to be able to identify a particular fungus visually. A lot of fungi are ubiquitous in nature and some are part of our normal flora. Most people encounter these fungi on a regular basis and have no problem keeping them out of areas in our body they shouldn’t be. These are referred to as opportunistic fungi, and will generally infect immunocompromised patients more frequently than a healthy individual. On the other hand there are primary pathogenic fungi that infect healthy individuals usually through inhalation followed by dissemination throughout the body.
Yeast:
Yeast are eukaryotic, unicellular fungi that spread via asexual or sexual reproduction. Some will elongate to form chains of cells called pseudohyphae, and others will appear in the more commonly known small, oval shape. Some yeast can take on multiple forms and will change depending on the environment and conditions. Asexual reproduction in yeast is done by budding or through binary fission. Pathogenic yeast common to the lab include Candida, Cryptococcus, and Malassezia furfur.
Pseudohyphae:
A chain of easily disrupted fungal cells that is intermediate between a chain of budding cells and a true hypha, marked by constrictions rather than septa at the junctions.
Chlamydospore:
A thick-walled hyphal cell that functions as a spore.
Blastoconidia (aka blastospore):
Blastoconidia are buds from parent cells and are the early structures of pseudohyphae.
Tinea versicolor:
A fungal infection of the skin.
Binary fission:
A form of asexual reproduction that involves the splitting of a parent cell into two independent cells.
Candida:
Candida species are commensal organisms that are very ubiquitous. There are four common Candida species that cause opportunistic and nosocomial candidiasis infections like yeast infections and thrush. Candida albicans is the most common followed by C. glabrata, C. parapsilosis, and C. tropicalis.
Candida species can be distinguished via there structure and different lab tests.
Candida albicans can be seen as small oval yeast or with pseudohyphae. Structurally, Candida albicans will form terminal chlamydospores while the other Candida species will not.
Candida albicans with terminal chlamydospores
In the lab, Candida albicans is the only common Candida species that will test positive for a germ tube test. In this test, yeast colonies are added to sheep or bovine serum and incubated at 37C for a few hours.
Candida glabrata is a small, oval yeast with single terminal buds. C. glabrata does not produce pseudohyphae; whereas, Candida tropicalis will produce long pseudohyphae.
Candida glabrata
Candida can also be distinguished by a special plate in the lab called a CHROM agar plate that will distinguish Candida species by color.
Cryptococcus neoformans:
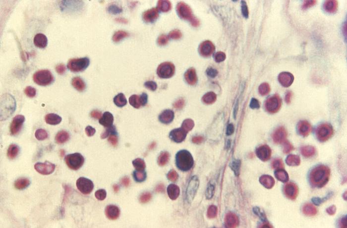
Cryptococcus neoformans is a circular/ovoid encapsulated budding yeast that can be found in soil, decaying wood, and bird poop. When inhaled, it can disseminate from the lungs throughout the body or even to the central nervous system (CNS); however most healthy people will not get sick from inhaling it. It mostly infects immunocompromised people. In the lab, it will have brown colonies on bird seed agar which is unique to C. neoformans, can be visualized with an India ink stain, and will test urease positive.
Cryptococcus neoformans India ink stain
Cryptococcus neoformans disseminated to the liver
Malassezia:
Malassezia furfur is a common normal flora yeast but can cause skin infections including tinea versicolor. It does not have pseudohyphae. They are small ovoid yeast with a characteristic “collaret.” In the lab it typically requires oil for growth.
Malassezia furfur scanning electron microscopy (SEM)
Dimorphic fungi:
Dimorphic fungi are fungi which can exist as mold/hyphal/filamentous form or as yeast. Oftentimes dimorphic fungi will grow as a mold at room temperature (20-25C) and a yeast in the body (37C). Blastomyces, Coccidioides, Histoplasma, and Sporothrix are all examples of dimorphic fungi.
Hyphae:
A hypha (plural hyphae) is a long, branching filamentous structure of a fungus. In most fungi, hyphae are the main mode of vegetative growth, and are collectively called a mycelium.
Microconidia:
A conidium of the smaller of two types produced by the same species and often differing in shape.
Macroconidia:
In fungi, the larger of two distinctively different-sized types of conidia in a single species, thick- or thin-walled and composed of 2 to 10 cells.
Conidiophore:
A structure that bears conidia.
Conidia:
A spore produced asexually by various fungi at the tip of a specialized hypha.
Arthroconidia:
A type of fungal spore typically produced by segmentation of pre-existing fungal hyphae.
Spherule:
A little sphere or spherical body.
Blastomyces dermatitidis:
B. dermatitidis causes blastomycosis, a potentially serious condition if not treated. It is found mostly in decaying wood and leaves. Blastomyces infection is most common through inhalation. Like most other fungi, Blastomyces will not infect most people but will infect immunocompromised people. It is common in the Ohio and Mississippi River Valleys as well as the Great Lakes area.
Morphology at 25C, it forms septate hyphae with short or long conidiophores and round or pear shaped conidia on the apex of the conidiophore that make the structure look like a lolli-pop. At 37C they form yeast like cells with broad based budding.
Blastomyces dermatitidis at 25C
Blastomyces dermatitidis broad based budding
Coccidioides:
Coccidioides species can cause coccidiodomycosis, also known as valley fever. It is common to the environment in the southwestern United States and parts of Mexico and South America. Coccidioides will not infect most people but certain subgroups are more susceptible.
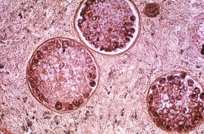
Morphology at 25C, it forms barrel shaped arthroconidia. At 37C, it forms large spherules with endospores.
Thin, septate, hyphae, from which numerous, thick-walled Coccidioides immitis arthroconidia have sprouted
Coccidioides immitis spherules with developing endospores.
Histoplasma capsulatum:
Histoplasma capsulatum is typically found in soil that has been heavily soiled with bat and bird poop. Transmission is via inhalation, and most people who are exposed will not get sick. Geographically it is associated with the Ohio and Mississippi River Valleys.
Morphology at 25C are septate hyphae with round to pear shaped microconidia and tuberculate macroconidia. Morphology at 37C are small round or oval budding cells.
Histoplasma capsulatum tuberculate macroconidia
Histoplasma capsulatum budding cells
Sporothrix scheckii:
Sporothrix scheckii can cause a rare condition called sporotrichosis, also known as “rose gardeners’ disease.” People can become infected by contacting spores on plant material like rose bushes, hay, and sphagnum moss. Typically the spores will enter through a cut or abrasion and cause a local cutaneous infection; however, in some cases and in immunocompromised people it can spread to the joints, bones, and central nervous system (CNS).
Morphology at 25C are narrow, septate, branching hyphae with slender conidiophores at right angles.
Morphology at 37C are long, slender, cigar shaped cells.
Sporothrix scheckii at 25C
Sporothrix scheckii at 37C cigar shaped cells
Know your vocabulary!
Chlamydoconidia:
A thick-walled fungal spore that is derived from a hyphal cell and can function as a resting spore.
Dermatophytes:
Dermatophytes are fungi that infect the skin, hair, and nails. Remember Digger the dermatophyte from that old toenail fungus commercial?

They typically do not infect living tissues and require keratin for growth which is present in high amounts on skin, hair, and nails. Dermatophytes have a unique ability to breakdown the compact protein keratin and use it for nutrition. Dermatophytes can be transferred by contact, like athletes foot.
Dermatophytes consist of three genera: Epidermophyton, Microsporum, and Trichophyton. Dermatophytes typically produce two different asexual reproductive cells, microconidia and macroconidia.
Epidermophyton:
Epidermophyton floccosum will infect skin and nails but not hair. Microscopically, they will have septate hyphae with club shaped macroconidia. They do not produce microconidia.
Epidermophyton floccosum
Microsporum:
Microsporum audouinii can cause scalp ringworm especially in children, it rarely effects adults. It has a spindle shaped macroconidia, can have comb like hyphae, and terminal chlamydoconidia.
Microsporum audouinii
Microsporum canis typically infects cats and dogs but rarely humans. It has a pointy shaped macroconidia.
Microsporum canis
Trichophyton:
Trichophyton mentagrophyte is the main cause of athletes’ foot! This dermatophyte has made a lot of people scratch their feet. Microscopically, they will have microconidia that are round and clustered on branched conidiophores. They will have cigar shaped macroconidia and can have coiled, spiral hyphae.
Trichophyton mentagrophyte
Sporangium:
A single-celled or many-celled structure in which spores are produced.
Sporangiospore:
Spores that are produced in a sporangium.
Rhizoid:
A branching, root like extension by which fungi absorb water and nutrients.
Zygospore:
The thick-walled resting cell of certain fungi arising from the fusion of two similar gametes.
 
Zygomycetes:
Zygomycetes characteristically have non-septate, broad, ribbon-like hyphae. They also have sac like structures called sporangium which give rise to sporangiospores, and root like structures called rhizoids produced along the hyphae (Mucor will not have rhizoids). Zygomycetes can undergo sexual reproduction when two hyphae fuse which eventually leads to the creation of a diploid zygospore.
Mucor spp zygospore
Examples of zygomycetes are Absidia, Rhizopus, and Mucor genera. They are ubiquitous in the environment and can cause mucormycosis in immunocompromised individuals.
Mucor spp
Phialide:
A flask-shaped projection from the vesicle (dilated part of the top of conidiophore) of certain fungi.
Metulae:
One of the outermost branches of a conidiophore from which flask-shaped phialides radiate (as in molds of the genera Aspergillus and Penicillium).
 
Other opportunistic molds:
Aspergillus:
Aspergillus species are ubiquitous in our environment and most people breathe them in every day. They can cause problems in immunocompromised people. Microscopically they have septate hyphae, unbranched conidiophores arising from specialized foot cells, and conidiophores are enlarged at the tip. Vesicles are completely or partially covered with flask shaped phialides which may be uniseriate or biseriate
Aspergillus drawing
Aspergillus fumigatus
Penicillium:
Penicillium species are ubiquitous in nature and some members of the genus are the source of the widely used antibiotic penicillin. They can cause problems in immunocompromised people. Penicillium species have septate hyphae, branched or unbranched conidiophores with secondary branches known as metulae. The metulae have whorls or flask-shaped phialides with unbranched chains of smooth or rough round conidia. They have a brush like or skeleton hand like appearance.
Penicillium spp drawing

